Northeast Indiana Veterinary Emergency & Specialty Hospital

Articles
Category:

Heat Stroke
Internal Medicine
Heat stroke, also known as hyperthermia, is a potentially fatal condition that occurs when your pet’s body temperature becomes extremely elevated. A normal body temperature in a dog should be between 101.0 ˚F and 102.5 ˚F.

Canine Cruciate Ligament Disease
Surgery
People commonly rupture the anterior cruciate ligament (ACL). It is the most common orthopedic injury seen in dogs, but is more properly called the cranial cruciate ligament (CCL).

Gastric Dilation and Volvulus (GDV)
Surgery
Gastric Dilatation and Volvulus (GDV) is a life-threatening condition affecting dogs. It is a common occurrence in large and giant breed dogs and is frequently referred to as “Bloat”.

Patent Ductus Arteriosus
Cardiology
A patent ductus arteriosus is one of the most common heart defects that dogs are born with. The ductus arteriosus is a normal fetal structure that connects the aorta and pulmonary artery (two large blood vessels that carry blood to the body and lungs).

Arrthythmias in Boxers
Cardiology
Cardiomyopathy is a general term for disease of the heart muscle. Boxers are a breed with a higher chance of developing a cardiomyopathy, specifically Arrhythmogenic Right Ventricular Cardiomyopathy (previously referred to as Boxer Cardiomyopathy).

Canine Valve Disease
Cardiology
Canine valve disease is an idiopathic degenerative change of the heart valves and is common in older dogs, especially small breed dogs. There are 4 valves in the heart and the most commonly affected is the mitral valve.

Dilated Cardiomyopathy (DCM)
Cardiology
Dilated cardiomyopathy (DCM) is a disease of the heart muscle that results in weakened heart strength and poor pumping ability.

What Is Hypertrophic Cardiomyopathy?
Cardiology
Hypertrophic cardiomyopathy (HCM) simply means thickening of the heart muscle and is the most common heart disease in adult cats. The heart is made up of four chambers: the left atrium and ventricle, and the right atrium and ventricle.

What Is An Arrhyhmia?
Cardiology
Simply defined, an arrhythmia is an abnormal heart rhythm.This can include a heart rhythm that is too fast (tachycardia), too slow (bradycardia), or has early or late beats.

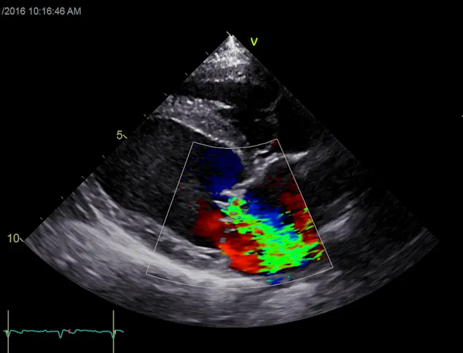
What Is An Echocardiogram?
Cardiology
An echocardiogram (ultrasound of the heart) uses ultrasound waves to create real time images that allow the cardiologist to evaluate the heart size, valve function and heart strength. Most people are familiar with ultrasound technology that is used for a pregnancy sonogram.

Feline Lower Urinary Tract Disease
Emergency Articles
Feline lower urinary tract disease (FLUTD) describes a series of conditions relating to the bladder and urethra of cats.

Antifreeze Toxicity
Emergency Articles
As we head into the cooler months, it is a good time to remind everyone of the dangers of antifreeze ingestion in dogs and cats. Antifreeze contains ethylene glycol, which when metabolized by the liver, creates toxic metabolites that cause damage to kidneys.

Chocolate and Your Dog
Emergency Articles
Almost everyone enjoys chocolate, even our pets. Although some forms of chocolate have been shown to have beneficial effects for people, they can have detrimental effects for our pets.

Common Pet Emergencies
Emergency Articles
While the staff at the Northeast Indiana Veterinary Emergency and Specialty Hospital (NIVES) is accustomed to handling pet emergencies, we know it can be a stressful time for both you and your pet. The key to making it as stress-free as possible is preparation.

Lily Toxicity in Cats
Emergency Articles
Lilies are beautiful, fragrant flowers that are often found in gardens and floral arrangements, especially around the holidays. Unfortunately, exposure to lily plants can cause kidney failure in cats and remains one of our most common feline emergencies.

